Dental Veneers
Background
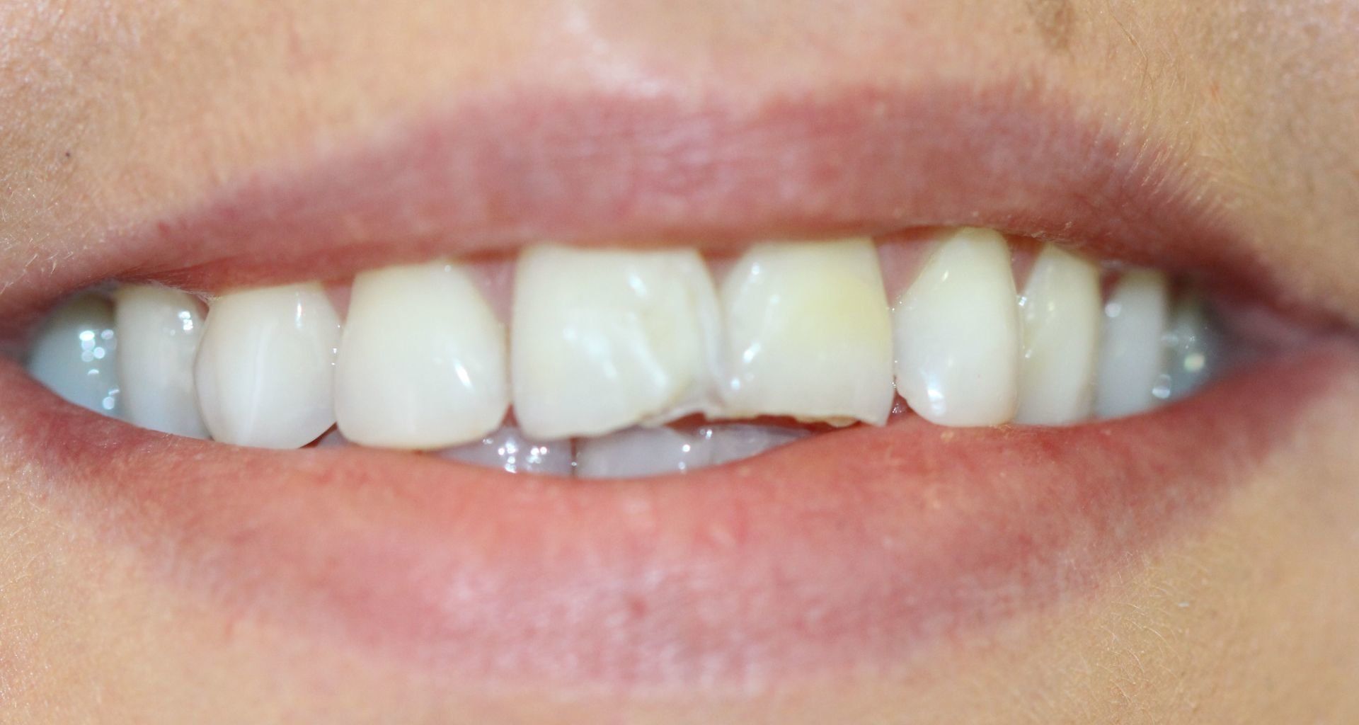
Dental Veneers are a thin layer of material placed on the front surface of a tooth, using either composite or porcelain material. It is a method which requires very little or no preparation for changing the appearance of a tooth.
What are veneers?
A functionally sound tooth can have disfigurements or imperfections that are aesthetically displeasing. These teeth are well suited for veneers. A little or no enamel is reduced on the front surface of the tooth to ensure the restored tooth is a natural shape. After the minor reduction, the next stage is dependent on the material used.
Types
Composite
If composite is used, it is placed directly on the tooth, shaped and finished. The procedure is carried out in one sitting. Since no laboratories are involved in this process, it is certainly the more economic option.
Porcelain
If porcelain is used, after minor reduction, an impression is taken and used to make a model so that a skilled dental technician can manufacture the porcelain veneer. The prepared tooth structure is specially treated before the veneer is bonded to the tooth. This creates an aesthetically pleasing finish to the tooth.
Veneers are used to treat a variety of dental conditions including:
Gaps or spaces between front teeth.
Chipped or broken teeth.
Discoloured teeth.
Crooked teeth.


"I was put at complete ease, following a thorough oral examination with photographic images, and the procedure explained in detail."
Read More Reviews
We're here to help...
We don't expect you to have a full understanding of how the treatments work... that's why we're here.
Get in touch so we can make an appointment and guide you to the right solution.