Root Canal Treatment
Background
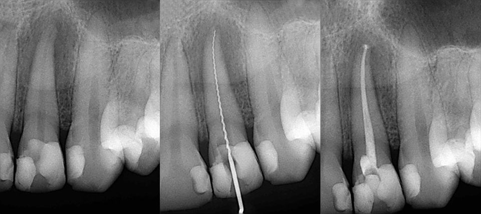
Root canal treatment (technically called endodontics) is needed when the pulp inside your tooth becomes infected through tooth decay or is damaged by an injury to your mouth. This infection may spread through the root canal system and could eventually lead to an abscess, causing a great deal of pain and discomfort. If root canal treatment is not carried out, the tooth may need to be removed.
The aim of root canal treatment is to remove all infection from the root canal.
What To Expect
The procedure is painless as the tooth in numbed with a local anaesthetic prior to the treatment.
The root is then cleaned thoroughly, sometimes over several appointments if necessary depending on the extent of the symptoms and infection. The canals are then filled with a robust filling material. Root Canal Treatment is a skilled and time consuming procedure. Most procedures will involve two or more visits to the dentist.
At the first appointment, the infected pulp is removed. Any abscesses, which may be present, can also be drained at this time. The root canal is then cleaned and shaped ready for filling. A temporary filling is placed in and the tooth is left to settle.
At the second appointment the tooth is checked and when all the infection has cleared, the tooth is permanently filled.
"My recent visit to New Malden Smiles, was to have root canal treatment. I was put at complete ease, following a thorough oral examination with photographic images, and the procedure explained in detail. The work was carried out with precision and with minimum discomfort. I was completely satisfied with the outcome."
We're here to help...
We don't expect you to have a full understanding of how the treatments work... that's why we're here.
Get in touch so we can make an appointment and guide you to the right solution.

