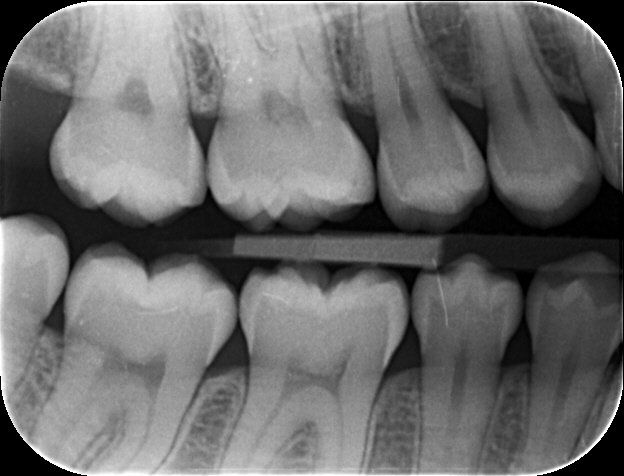
Digital X-Rays
Background
Digital X-Rays are as comfortable as normal x-rays, but the benefits are that you receive a significantly reduced dose of radiation. In addition to this, enlarged images of these x-rays are available for viewing almost immediately after they have been taken.
Are x-rays really necessary? The short answer is YES. Concerns about radiation are common and quite understandable. However, a full series of dental x-rays exposes you to less radiation than a flight on a typical commercial airliner. Digital x-rays reduce the dosage of radiation even further!
To reach the maximum annual allowable dose of x-ray radiation, it would take 10,000 dental x-rays!
When one weighs this against all the serious conditions such as decay, periodontal disease, abscesses and cancer that can go undetected without X-rays, it seems like a fair trade off.
The reasons we need dental x-rays:
Evaluating bone support around teeth and gum disease.
Discovering abscesses and root infections.
Discovering cysts and tumours.
Monitoring any progress/lack of progress of any lesions.
"...He is more than happy to explain every procedure in detail and to demonstrate using his up-to-date equipment and cameras..."
Read More Reviews
We're here to help...
We don't expect you to have a full understanding of how the treatments work... that's why we're here.
Get in touch so we can make an appointment and guide you to the right solution.


