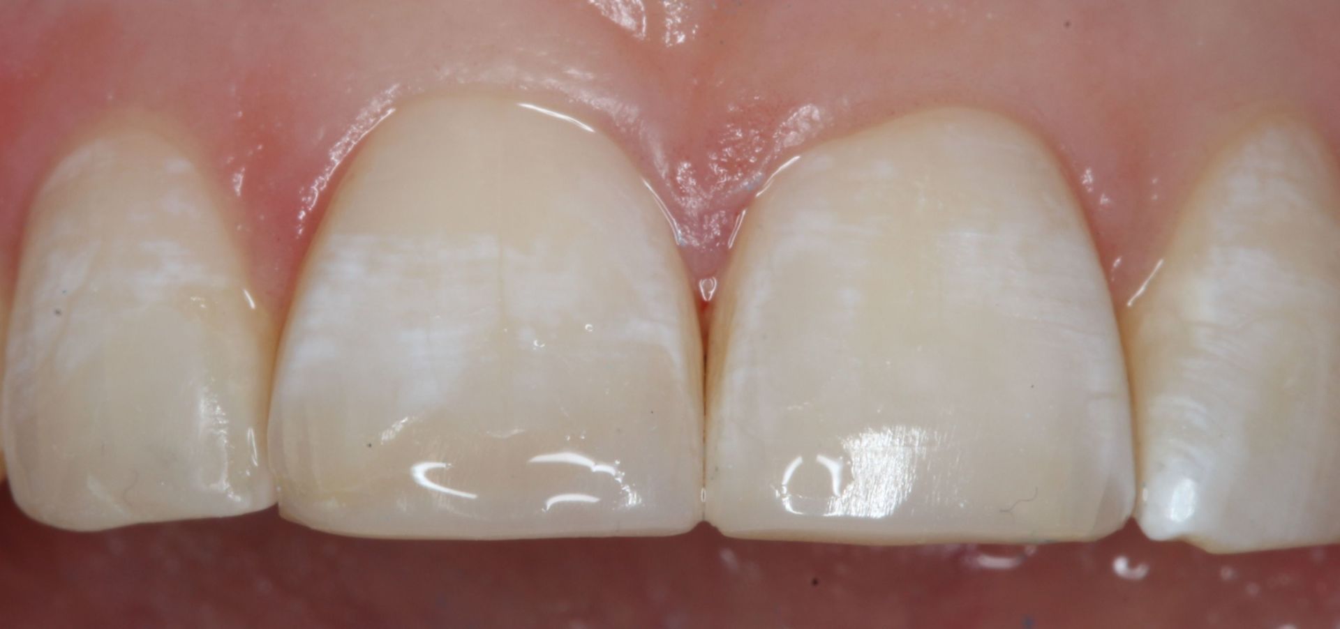
White Fillings
Background
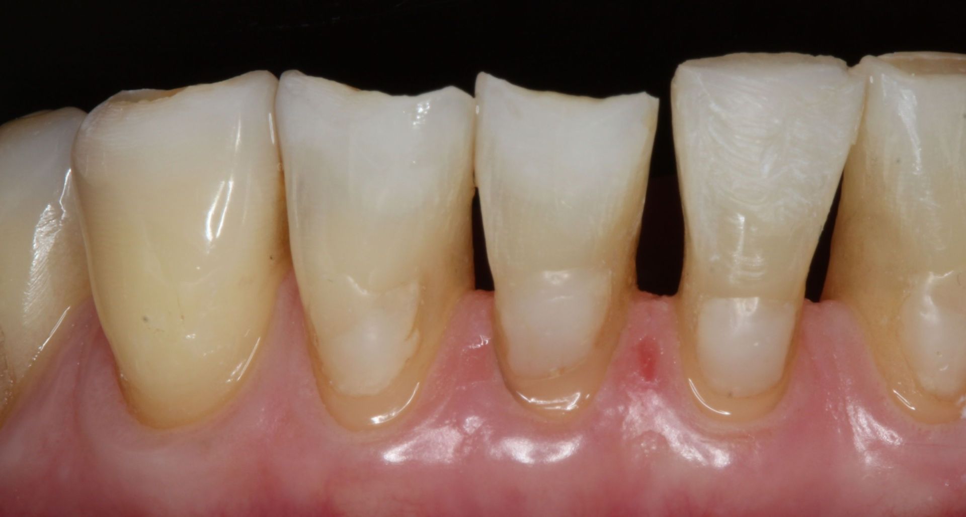
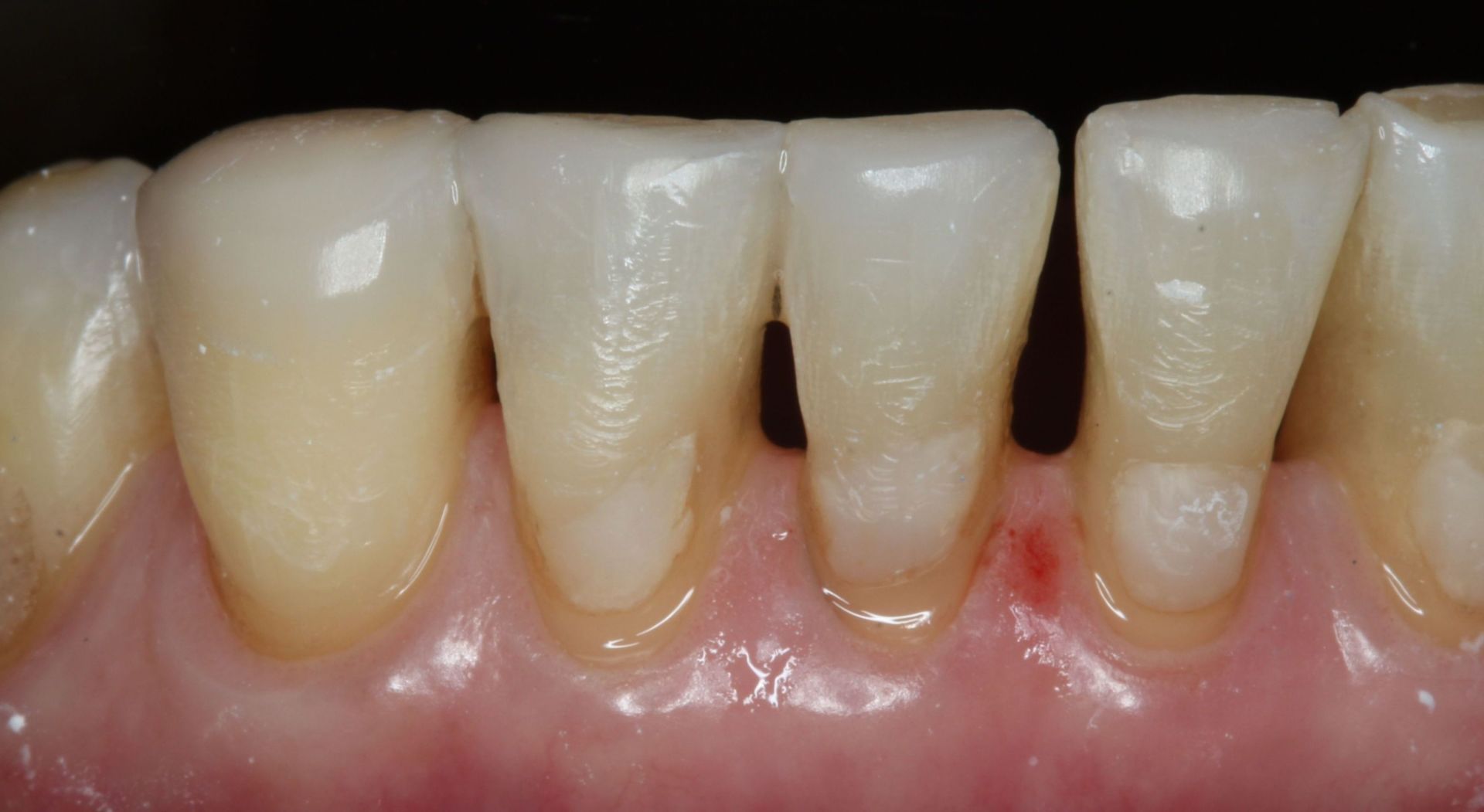
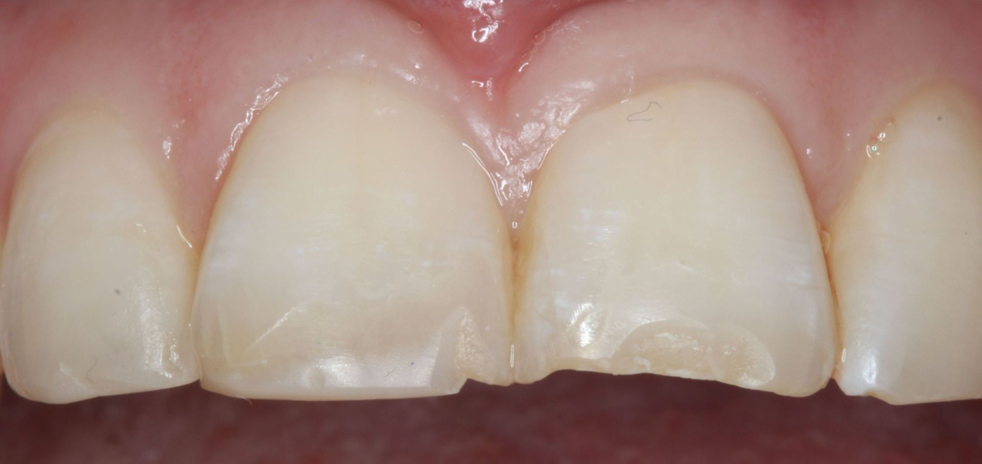
White fillings and fillings in general are used to replace a portion of your tooth which has been lost either due to dental decay or through damage.
One of the white filling materials often used is made from synthetic resins mixed with glass/silica particles creating a tooth coloured filling material with excellent translucency. This can be placed into a tooth and hardened using a special blue light, restoring the tooth's original colour, form and function. These fillings are very technique sensitive, and so at New Malden Smiles we ensure that we always use high quality materials and meticulous placement methods to ensure long-term success.
White fillings are bonded to the existing tooth structure, which makes them strong and last a long time.
White Fillings may be used to:
Fill new decay around old fillings.
Replace old silver fillings (that have turned black).
Repairing broken teeth.
Monitoring any progress/lack of progress of any lesions.








"...staff are friendly, careful, and painstaking professionals that I have already recommended to others for dental treatments, oral hygiene and cosmetic improvements...I can’t speak highly enough of Dr Shah and New Malden Smiles. I am happy to recommend them without reservation..."
Read More Reviews
We're here to help...
We don't expect you to have a full understanding of how the treatments work... that's why we're here.
Get in touch so we can make an appointment and guide you to the right solution.